เปิดเคสผู้ป่วยหญิงไทย ไม่สูบบุหรี่ ไม่ไอ ไม่ไข้ ไม่มีอะไรเลย พอเอกซเรย์ปอดเท่านั้น รู้เรื่องเลย ผลจากข้างบ้านล้วน ๆ

ภาพจาก เฟซบุ๊ก หมอมนูญ ลีเชวงวงศ์ FC
วันที่ 12 มกราคม 2569 เฟซบุ๊ก หมอมนูญ ลีเชวงวงศ์ FC มีการเปิดเคสผู้ป่วยหญิงไทย อายุ 84 ปี ไม่สูบบุหรี่ ไม่ไอไม่มีไข้ ไม่เหนื่อย ไม่เบื่ออาหาร น้ำหนักไม่ลด ไม่ปวดศีรษะ ช่วยตัวเองได้ เป็นโรคความดัน ไขมัน เบาหวาน แต่กลับพบปอดอักเสบ รายละเอียดทั้งหมดดังนี้
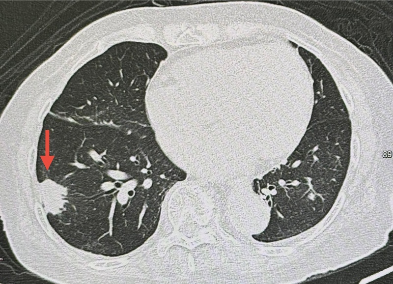
ผู้ป่วยรายนี้ มาตรวจร่างกายประจำปี ตรวจร่างกาย ไม่มีไข้ ฟังปอดปกติ เอกซเรย์ปอด มีเงาผิดปกติปอดข้างขวาด้านบนจากเคยป่วยเป็นวัณโรค และมีก้อนขนาด 1.9 x 1.9 เซนติเมตรที่ปอดข้างขวาด้านล่าง (ดูรูป) ก้อนนี้เป็นก้อนใหม่เพิ่งพบครั้งแรก ปีที่แล้วไม่มีก้อน ทำคอมพิวเตอร์ปอด พบก้อนขนาด 3.0 × 2.4 × 2.0 เซนติเมตรที่ปอดข้างขวาด้านล่าง ตรวจเลือด ค่ามะเร็งทุกตัวปกติ
ภาพจาก เฟซบุ๊ก หมอมนูญ ลีเชวงวงศ์ FC
เมื่อเจาะก้อนด้วยเข็ม ส่งชิ้นเนื้อตรวจพยาธิวิทยา พบปอดอักเสบจากเชื้อราคริปโตค็อกคัส ตรวจเลือดหาคริปโตค็อกคัสแอนติเจนให้ผลบวก titer 1 : 20 ทำคอมพิวเตอร์สมอง และเจาะน้ำไขสันหลังปกติ ไม่พบเชื้อราคริปโตค็อกคัสกระจายเข้าเยื่อหุ้มสมอง
วินิจฉัย : ปอดอักเสบจากติดเชื้อราคริปโตค็อกคัส
ภาพจาก เฟซบุ๊ก หมอมนูญ ลีเชวงวงศ์ FC
ให้การรักษาด้วยยาต้านเชื้อรา fluconazole กินต่อเนื่องอย่างน้อย 6 เดือน
ซักประวัติ ที่บ้านเป็นตึก 4 ชั้น ผู้ป่วยอาศัยอยู่ในห้องชั้น 2 ที่บ้านเลี้ยงนกพิราบหลายตัวบนดาดฟ้าหลายปีแล้ว นกพิราบมาเกาะที่ระเบียงและขอบหน้าต่างห้องผู้ป่วยเป็นประจำ ผู้ป่วยชอบทำความสะอาดมูลนกพิราบติดที่ระเบียงและขอบหน้าต่าง
ผู้ป่วยรายนี้หายใจสปอร์ของเชื้อราคริปโตค็อกคัส นีโอฟอร์แมนส์ (Cryptococcus Neoformans) จากมูลนกพิราบเข้าไปในปอด ทำให้เกิดปอดอักเสบลักษณะเป็นก้อน
โชคดีที่เชื้อราไม่ได้กระจายออกนอกปอดเนื่องจากร่างกายยังแข็งแรง มีภูมิคุ้มกันดี แนะนำให้ทุกคนอยู่ห่าง ๆ และหลีกเลี่ยงทำความสะอาดมูลนกพิราบ ถ้าจำเป็นต้องทำความสะอาด ต้องใส่หน้ากากอนามัย ถ้าเป็นไปได้ควรใส่ชนิด N 95 เพื่อป้องกันการหายใจสปอร์เชื้อราเข้าปอด

ข่าวในพระราชสำนัก ข่าวในพระราชสํานักย้อนหลัง
ข่าวบันเทิงดาราไทยข่าวบันเทิงวันนี้ ข่าวบันเทิงล่าสุด
ข่าวบันเทิงเกาหลีข่าวบันเทิงเกาหลีวันนี้
ข่าวบันเทิงต่างประเทศข่าวดาราฮอลลีวู้ด และอื่นๆ
ข่าวเพลงใหม่ข่าวเพลงวันนี้
ข่าวหนังใหม่ข่าวหนังต่างประเทศ
ข่าวการเมืองข่าวการเมืองล่าสุด ข่าวการเมืองวันนี้
ข่าวเศรษฐกิจข่าวเศรษฐกิจโลก ข่าวเศรษฐกิจไทย
ข่าวต่างประเทศข่าวต่างประเทศวันนี้ ข่าวต่างประเทศล่าสุด
ข่าวประเทศจีนข่าวจีนวันนี้ ข่าวจีนแปลกๆ
ข่าวอาชญากรรมข่าวอาชญากรรมวันนี้ ข่าวอาชญากรรมล่าสุด
ข่าวปัญหาสังคมข่าวเตือนภัยสังคม
ข่าวยาเสพติดจับยาเสพติดวันนี้
ข่าวอุบัติเหตุคลิปอุบัติเหตุ อุบัติเหตุสยอง ข่าวอุบัติเหตุวันนี้
ข่าวสภาพอากาศ - น้ำท่วมข่าวพยากรณ์อากาศ น้ำท่วมล่าสุด
ข่าวภูมิภาคข่าวภูมิภาค 77 จังหวัด ข่าวภูมิภาควันนี้
ข่าวภาคใต้ข่าวภาคใต้ล่าสุด ข่าวด่วนภาคใต้
ข่าวกีฬาข่าวกีฬาวันนี้
ข่าวฟุตบอลข่าวกีฬาฟุตบอล ข่าวฟุตบอลทั้งหมด
ข่าวรถใหม่ข่าวรถยนต์ ราคารถใหม่ ข่าววงการรถ
ข่าวมือถือข่าวมือถือล่าสุด ราคามือถือ
ข่าววิทยาศาสตร์ข่าววิทยาศาสตร์ใหม่ น่ารู้
ข่าวไอทีอัพเดทข่าวไอที ข่าวไอทีวันนี้
ข่าวการศึกษาข่าวการศึกษาไทย ข่าวการศึกษาวันนี้
ข่าวอาเซียนข่าวอาเซียนวันนี้ ล่าสุด
ข่าวสุขภาพข่าวสุขภาพน่ารู้ สุขภาพวันนี้
ข่าวท่องเที่ยวข่าวท่องเที่ยวล่าสุด ข่าวท่องเที่ยวไทย
ข่าวหวยเลขเด็ดงวดนี้ ข่าวหวยดัง
ข่าว x-fileข่าวแปลกๆ เรื่องแปลกทั่วโลก เรื่องลึกลับ
ข่าวฮิตสังคมออนไลน์กระแสเรื่องฮิต จาก facebook twitter
คลิปข่าวคลิปข่าววันนี้ คลิปข่าวใหม่ คลิปข่าวล่าสุด
