นักศึกษาหนุ่มวัย 20 ป่วยเข้า ICU เกิดภาวะติดเชื้อในกระแสเลือด พบรูในปอดมากกว่า 10 รู ต้นเหตุไม่คาดคิด เพราะบีบสิว

ภาพจาก Sina
วันที่ 23 พฤศจิกายน 2568 เว็บไซต์ Soha เผยกรณีอุทาหรณ์ที่น่าตกใจ
นักศึกษาชายวัย 20 ปีรายหนึ่งในประเทศจีน ป่วยหนักจนต้องเข้าห้องไอซียู
หลังจากบีบสิว ซึ่งนั่นดูเหมือนไม่เป็นอันตราย
แต่เขากลับต้องเผชิญกับภาวะติดเชื้อในกระแสเลือด และปอดได้รับความเสียหาย
โดยพบว่ามีรูในปอดมากกว่า 10 รู
ตามรายงานของสื่อท้องถิ่นเผยว่า นายจาง (นามสมมุติ) เป็นนักศึกษาชั้นปีที่ 2 ของมหาวิทยาลัยแห่งหนึ่ง ในช่วงที่ผ่านมาเขาได้เตรียมตัวสอบอย่างหนักจนดึก ทำให้เขานอนไม่หลับหลายคืน กระทั่งในเช้าวันหนึ่ง เขาส่องกระจกแล้วพบว่ามีสิวอักเสบขนาดเท่าเม็ดถั่วอยู่บนใบหน้า เขาเผยว่ามันมีอาการบวมแดงและคันมาก จนตัดสินใจบีบมัน
จางไม่ทันได้ระวัง เขาบีบสิวอักเสบนั้นโดยที่ไม่ได้ล้างมือ ในตอนนั้นเขาเห็นว่ามีหนองไหลออกมาจากหัวสิว จึงเข้าใจว่าสิวน่าจะถูกกำจัดไปแล้ว แต่ปรากฏว่าหลังจากผ่านไปไม่กี่วัน บริเวณที่สิวขึ้นยังคงอักเสบ และยิ่งเจ็บปวดใบหน้ามากยิ่งขึ้น นอกจากนี้เขายังมีไข้ ไอ และมีเสมหะ ตอนแรกเขากินยาลดไข้ไปก็ดีขึ้น แต่ต่อมาไข้กลับขึ้นอีก อีกทั้งยังมีอาการปวดที่หน้าอกขวาล่าง จนทำให้เขาหายใจลำบาก
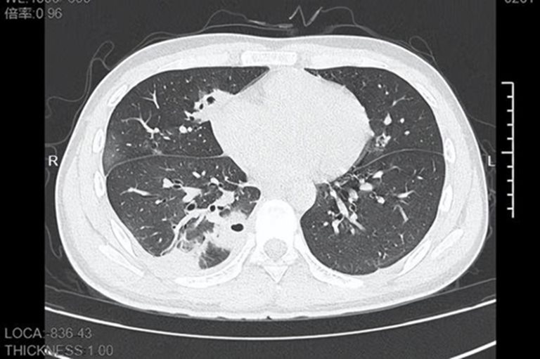
ในที่สุดจางได้ตัดสินไปโรงพยาบาล ขณะที่ไปถึง เขามีไข้สูงถึง 39 องศาเซลเซียส แพทย์ได้ทำ CT scan ทรวงอก ผลปรากฏว่าพบรู หรือที่เรียกว่า โพรงในปอด (pulmonary cavities) ซึ่งเป็นช่องว่างผิดปกติภายในเนื้อเยื่อปอดมากกว่า 10 โพรง เนื้อเยื่อปอดบางส่วนมีเนื้อตายและมีหนองสะสมอยู่ภายใน
แพทย์วินิจฉัยว่าผู้ป่วยมีอาการของฝีในปอด (Lung abscess) ที่เกิดจากการติดเชื้อแบคทีเรียในกระแสเลือด โดยผลการตรวจทดสอบแสดงให้เห็นว่า เกิดจากเชื้อแบคทีเรียชนิด Staphylococcus aureus ซึ่งเป็นแบคทีเรียที่อาศัยอยู่บนผิวหนังของคน ทำให้เกิดการติดเชื้อได้ตั้งแต่เล็กน้อยไปจนถึงรุนแรง ซึ่งภายหลังจากการสอบถามทำให้สามารถยืนยันได้ว่าต้นเหตุมาจาก "การบีบสิว"
ภาพจาก Sina
แพทย์เผยว่า "สิวคือจุดเริ่มต้น มันอยู่ตรงบริเวณสามเหลี่ยมอันตรายบนใบหน้า เมื่อบีบแรง ๆ แบคทีเรียจะเข้าสู่กระแสเลือดโดยตรง ทำให้เกิดภาวะติดเชื้อในกระแสเลือดและโจมตีปอด"
โดยเคสดังกล่าว ผู้ป่วยจำเป็นต้องรักษาตัวในไอซียู โดยมีแพทย์ดูแลอย่างใกล้ชิด ทั้งนี้ โชคดีที่เขายังอายุน้อย และร่างกายตอบสนองต่อการรักษาได้ดี หลังจากได้รับยาปฏิชีวนะทางหลอดเลือดดำเป็นเวลา 12 วัน เขาก็อาการดีขึ้นและสามารถออกจากโรงพยาบาลได้
ทั้งนี้ แพทย์ได้เตือนว่าการบีบสิวอักเสบที่ใบหน้านั้นอันตราย โดยเฉพาะบริเวณตั้งแต่สันจมูกถึงมุมปาก ที่เรียกว่า "สามเหลี่ยมมรณะ" เนื่องจากมีเส้นเลือดที่เชื่อมต่อกับหลอดเลือดสำคัญ เมื่อบีบสิวตรงนั้นแล้วเกิดแผลเปิด แบคทีเรียจากมือหรืออากาศ จะสามารถเข้าสู่กระแสเลือดได้ และยิ่งมีแรงกดมาก แบคทีเรียจะถูกดันเข้าสู่กระแสเลือดได้ง่าย จนอาจนำไปสู่การติดเชื้อ และเกิดภาวะแทรกซ้อนที่ร้ายแรง หรือในบางกรณีอาจถึงขั้นเสียชีวิตได้
ขอบคุณข้อมูลจาก Soha

ข่าวในพระราชสำนัก ข่าวในพระราชสํานักย้อนหลัง
ข่าวบันเทิงดาราไทยข่าวบันเทิงวันนี้ ข่าวบันเทิงล่าสุด
ข่าวบันเทิงเกาหลีข่าวบันเทิงเกาหลีวันนี้
ข่าวบันเทิงต่างประเทศข่าวดาราฮอลลีวู้ด และอื่นๆ
ข่าวเพลงใหม่ข่าวเพลงวันนี้
ข่าวหนังใหม่ข่าวหนังต่างประเทศ
ข่าวการเมืองข่าวการเมืองล่าสุด ข่าวการเมืองวันนี้
ข่าวเศรษฐกิจข่าวเศรษฐกิจโลก ข่าวเศรษฐกิจไทย
ข่าวต่างประเทศข่าวต่างประเทศวันนี้ ข่าวต่างประเทศล่าสุด
ข่าวประเทศจีนข่าวจีนวันนี้ ข่าวจีนแปลกๆ
ข่าวอาชญากรรมข่าวอาชญากรรมวันนี้ ข่าวอาชญากรรมล่าสุด
ข่าวปัญหาสังคมข่าวเตือนภัยสังคม
ข่าวยาเสพติดจับยาเสพติดวันนี้
ข่าวอุบัติเหตุคลิปอุบัติเหตุ อุบัติเหตุสยอง ข่าวอุบัติเหตุวันนี้
ข่าวสภาพอากาศ - น้ำท่วมข่าวพยากรณ์อากาศ น้ำท่วมล่าสุด
ข่าวภูมิภาคข่าวภูมิภาค 77 จังหวัด ข่าวภูมิภาควันนี้
ข่าวภาคใต้ข่าวภาคใต้ล่าสุด ข่าวด่วนภาคใต้
ข่าวกีฬาข่าวกีฬาวันนี้
ข่าวฟุตบอลข่าวกีฬาฟุตบอล ข่าวฟุตบอลทั้งหมด
ข่าวรถใหม่ข่าวรถยนต์ ราคารถใหม่ ข่าววงการรถ
ข่าวมือถือข่าวมือถือล่าสุด ราคามือถือ
ข่าววิทยาศาสตร์ข่าววิทยาศาสตร์ใหม่ น่ารู้
ข่าวไอทีอัพเดทข่าวไอที ข่าวไอทีวันนี้
ข่าวการศึกษาข่าวการศึกษาไทย ข่าวการศึกษาวันนี้
ข่าวอาเซียนข่าวอาเซียนวันนี้ ล่าสุด
ข่าวสุขภาพข่าวสุขภาพน่ารู้ สุขภาพวันนี้
ข่าวท่องเที่ยวข่าวท่องเที่ยวล่าสุด ข่าวท่องเที่ยวไทย
ข่าวหวยเลขเด็ดงวดนี้ ข่าวหวยดัง
ข่าว x-fileข่าวแปลกๆ เรื่องแปลกทั่วโลก เรื่องลึกลับ
ข่าวฮิตสังคมออนไลน์กระแสเรื่องฮิต จาก facebook twitter
คลิปข่าวคลิปข่าววันนี้ คลิปข่าวใหม่ คลิปข่าวล่าสุด
